#
Digital Card

Call us

+91 9820229422

Monday to Saturday

10am to 1pm, 6pm to 9pm

Email Us

anand12121988@gmail.com

#

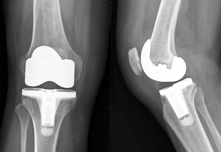
Total Knee Replacement

Knee replacement, also called knee arthroplasty or total knee replacement, is a surgical procedure to resurface a knee damaged by arthritis. Metal and plastic parts are used to cap the ends of the bones that form the knee joint, along with the kneecap. This surgery may be considered for someone who has severe arthritis or a severe knee injury.

Various types of arthritis may affect the knee joint. Osteoarthritis - a degenerative joint disease that affects mostly middle-aged and older adults, may cause the breakdown of joint cartilage and adjacent bone in the knees. Rheumatoid arthritis - which causes inflammation of the synovial membrane and results in excessive synovial fluid, can lead to pain, stiffness & destruction of Articular Cartilage.

With Knee Replacement Surgery patient can walk, climb the steps, squat and will be able to perform routine work without pain.

Knee Replacement
Knee Replacement